티스토리 뷰
UBO 내 머릿속에 있는 흰색 반점
안녕하세요 오늘은 Brain MRI 검사 시 나타나는 흰색 반점에 대해서 알아보려고 합니다. 여러분들은 뇌건강에 대해서 얼마나 관심이 많으신가요? 요즘 대한민국은 노인질환에 대해서 사회적인 관심이 무척이나 많습니다. 왜냐하면 100세 시대에 노인건강을 관리하지 않는 다면 그만큼 많은 사회적인 비용이 발생하기 때문이죠
과거에는 노인건강에 대해서 물어보면 대부분 암이나 당뇨 고혈압을 많이 걱정했을 것입니다. 하지만 최근에는 뇌건강에 많은 관심을 가지기 시작했습니다. 과거 우리의 기대 수명은 길면 80세였습니다. 하지만 최근 우리의 기대 수명은 100세를 넘어섰습니다.
그리고 현대의학은 눈부신 발전을 이룩해서 웬만한 암이나 내과적인 질환은 치료가능한 수준으로 올라섰습니다. 하지만 뇌 건강을 아직 그만한 수준으로 발전하지 않았습니다. 인간의 기대수명이 늘어나면서 뇌는 60~70세 정도를 사용하게끔 만들어졌는데 40년을 더 사용하라고 하니 고장이 안 날 수 있겠습니까?
그래서 최근에는 Brain MRI를 많이 찍어 보시는데요 어느 날 검사를 해보니 머릿속에 흰색 반점이 생겨 있으면 얼마나 놀라고 겁이 나겠습니까? 그런 알 수 없는 흰색점을 UBO라고 부르는데요 지금부터 내 머릿속에 있는 흰색 반점 UBO에 대해서 자세히 포스팅해 보겠습니다.
높아지는 뇌혈관 질환에 대한 관심
요즘 뇌혈관 질환에 대한 관심이 높아지고 뇌 MRI 촬영의 접근성이 좋아지면서 뇌 MRI 검사의 빈도도 늘어나고 있습니다. 머리가 아파서 뇌 MRI 촬영을 하거나 건강검진 등으로 뇌 MRI 검사 후, 이상소견이 있다고 하여 병원을 다시 찾는 경우가 흔히 있습니다.
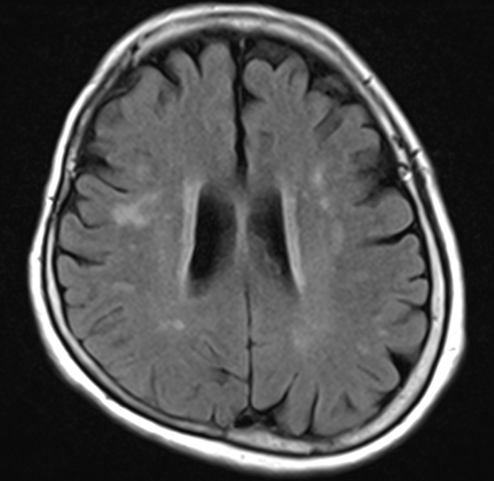
그중 대표적인 경우가 뇌 MRI 검사에서 흰 점이 발견되는 경우이다.(그림 1 참조) 초기 뇌졸중이나 미니 뇌졸중이라고 불리기도 하며, 정체를 알 수 없는 이 흰 점은 과연 무엇일까요?

UBO란 무엇인가?
우리는 정체를 알 수 없는 외계 비행물체를 UFO(Unidentified Flying Object)라고 부르는데, 마찬가지로 뇌에 존재하는 정체를 알 수 없는 흰 점을 UBO(Unidentified Bright Object)라고 부릅니다. 즉, 흰 점인데 정체를 알 수 없다는 뜻이죠. MRI상에서 정확히 결론을 내릴 수 없고 일단 사진 상에서 보이므로 UBO라고 표시하게 됩니다.
흰 점이 생기는 원인
흰 점이 생기는 원인을 정확히 알 수 없다는 뜻은 원인이 여러 가지라는 말과 같습니다. 제일 흔한 경우는 혈액과 산소 공급이 잘 되지 않아 발생하는 허혈성 병변이지만, 그 외에 뇌의 염증성 병변, 퇴행성 병변, 외상성 병변 등 다양한 원인에 의해 발생하게 됩니다.
뇌의 혈액 공급은 여러 다양한 굵기의 대뇌 동맥에 의해 이루어지는데, 뇌의 깊은 곳에 존재하는 뇌세포의 일부는 대뇌 동맥의 혈류 공급을 직접적으로 받지 못합니다. 이러한 뇌의 부위를 분수령 구역(watershed area)이라 하고, 이곳의 산소 공급과 물질 이동은 확산에 의해 이루어집니다.
이곳은 뇌혈관의 관류압이 낮아지게 되면 허혈성 병변, 혹은 뇌경색이 잘 발생할 수 있다. 이러한 허혈성 병변이 MRI상에서는 흰 점으로 보이는 것입니다.
허혈성 병변의 발생 원인
허혈성 병변을 발생시키는 주요한 원인은 동맥경화입니다. 동맥경화라는 것은 혈관이 전체적으로 딱딱해지고 굳어지면서 좁아지려고 하는 성질을 말합니다.
오래된 수도관이 녹슬고 이물질이 침착되어 좁아지는 현상과 비슷합니다. 동맥경화는 일반적으로 나이가 들수록 심해지며, 이외에도 고혈압, 당뇨, 고지혈증이 있는 경우, 술, 담배, 운동부족, 과체중, 복부비만, 심뇌혈관의 가족력이 있는 경우도 발생할 수 있습니다.
허혈성 병변 관리의 중요성
뇌에 발생하는 허혈성 병변은 관리하지 않으면 추후 여러 가지 뇌 질환으로 진행될 가능성이 높습니다. 흰 점의 개수가 늘어날 수도 있고, 심한 경우 뇌경색이 올 수도 있습니다.
이 때는 말이 어눌해지거나 언어 장애가 생길 수 있으며, 편측 팔다리에 힘이 빠지거나 보행에 문제가 생기기도 합니다. 운이 좋아서 뇌경색이 오지 않았더라도, 허혈성 병변의 진행은 전반적인 인지기능을 떨어트리고 궁극적으로 치매를 유발할 수 있습니다.
빠른 치료가 중요하다
따라서 뇌MRI 검사 상에서 흰 점이 있다고 확인된 경우에는 뇌혈관 전문가와 상의하는 것이 좋습니다. 병원에 내원하게 되면, 동맥경화도 검사나 허혈성 뇌질환을 유발할 수 있는 내과적인 질환과 관련된 혈액검사 등이 진행될 수 있습니다.
당뇨 환자는 혈당조절에 더욱 신경을 써야 하며, 혈압도 자주 확인해서 조절하도록 합니다. 고지혈증은 동맥경화를 유발할 수 있으므로 약물복용이 권유됩니다. 술, 담배는 끊는 것 외에는 다른 방법이 없으므로 반드시 끊도록 합니다.
결론
오늘은 Brain MRI 상에서 발생하는 흰점 UBO에 대해서 알아보았습니다. 허혈성 병변으로 발생하는 흰 점은 그대로 방치시키면 다양한 합병증으로 진행될 수 있기 때문에 MRI 검사에서 흰색 점이 보였다면 빨리 전문가와 상담하고 적절한 치료를 진행하셔야 합니다.
모든 병이 그렇지만 뇌에 생기는 질환은 빨리 발견하고 치료하면 그만큼 부작용이나 후유증이 덜 발생하기 때문에 이상 증상이 발생하면 빠른 검사와 진단으로 건강을 지키시기 바랍니다.
다음시간에도 도움이 되는 건강상식으로 돌아오겠습니다.
감사합니다.

'포켓의학사전' 카테고리의 다른 글
| 디지털치매 예방하는 방법 (0) | 2023.11.19 |
|---|---|
| 체중관리 허리건강에 얼마나 도움이 될까? (0) | 2023.11.17 |
| 도수치료 우리 몸에 얼마나 효과적일까? (1) | 2023.11.15 |
| 몸 전체에 영향을 미치는 경추 척추관협착증 (0) | 2023.11.14 |
| 통풍 맥주만 안 마시면 되는 건가? 통풍의 모든 것 (0) | 2023.11.13 |