티스토리 뷰
무지외반증 수술로 교정이 가능한가요?


날씨가 더워지면서 샌들과 슬리퍼 등 발이 보이는 신발을 찾는 이들이 많습니다. 하지만 예쁜 구두나 샌들을 신고 싶어도 엄지 발가락 안쪽이 튀어나와 신발 신기가 불편한 사람들이 있습니다. 또 슬리퍼를 신고 싶은데 발 안쪽이 튀어나와 발 모양이 신경 쓰여 슬리퍼를 신기를 꺼리는 사람들도 있습니다.
증상


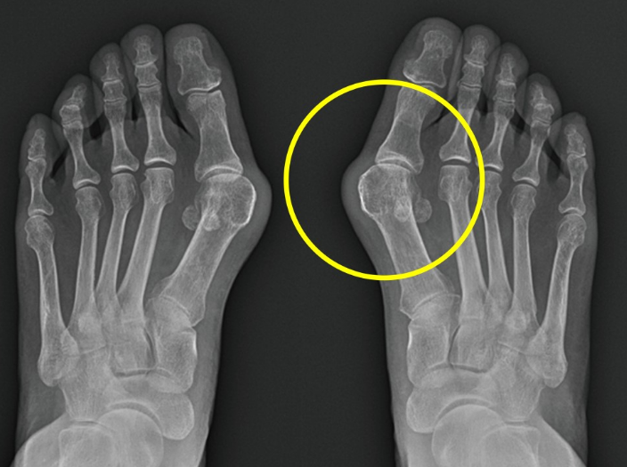
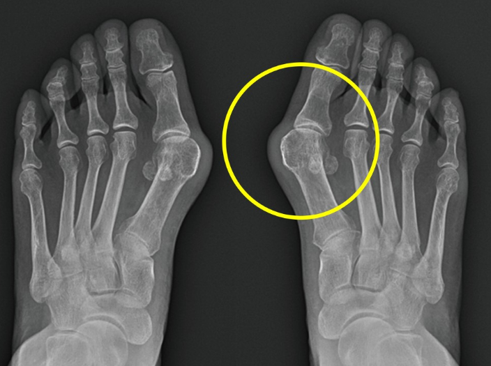
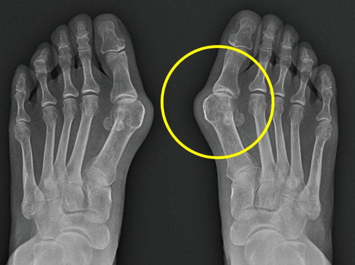
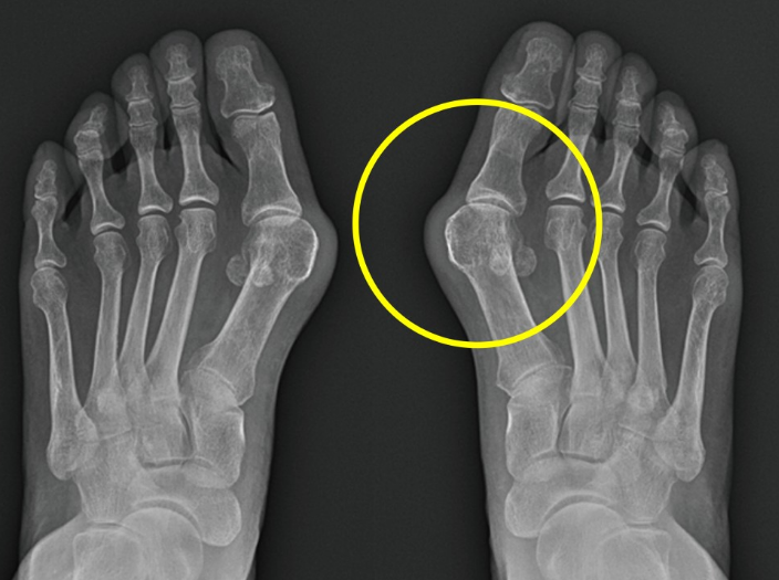
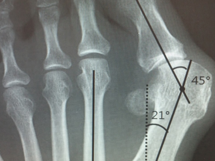
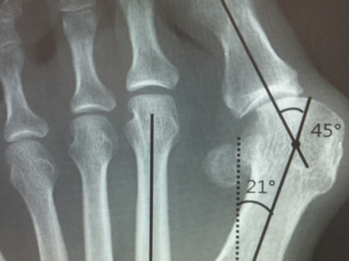
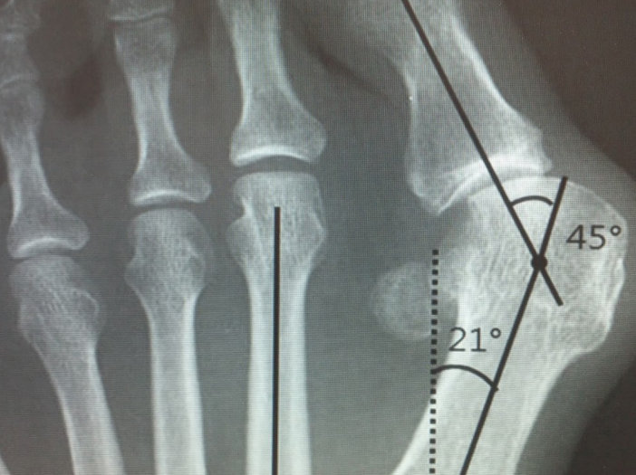
우리가 흔히 알고 있는 무지외반증 때문입니다. 사전적 의미는 엄지발가락이 안쪽으로 튀어나오는 변형이 생겼다는 말입니다. 하지만 실제로 따지고 보면 발가락과 발등을 연결하는 중족골이라는 뼈가 안쪽으로 벌어지면서 회전 변형이 같이 일어나는 질환입니다. 처음에는 증상이 없다가도 점차 진행하게 되면 발가락 안쪽이 점차 튀어나와 일반적인 신발을 신기가 불편한 증상이 생깁니다.
보행 시 첫번째 중족골이 힘을 잘 받쳐줘야 하는데 무지외반이 진행되면 다른 발가락의 중족골이 힘을 받으며 발바닥 쪽의 통증이 생기는 전이성 중족골통이 발생하기도합니다. 또한 심한 변형이 지속되면 발가락을 움직여주는 힘줄이 제 역할을 하지 못해 걷기 불편하기도 하며, 엄지발가락이 두번째 발가락을 밀면서 두번째 발가락까지 점차 변형이 진행되고 엄지발가락이 검지발가락에 올라타는 변형이 발생하기도합니다.
원인


무지외반증에 대해 여러가지 원인이 제시되고 있지만 크게 유전적 요인과 신발로 인해 생기는 것으로 나눌 수 있습니다. 자식이 부모의 키와 얼굴 생김새를 닮 듯 발 모양 또한 부모의 모양을 어느정도 닮습니다. 무지외반증 환자를 보다 보면 부모님도 발 변형이 심했다고 하시는 분들을 많이 만날 수 있습니다.
구두와 같이 발 앞부분이 좁은 신발(pointed shoe)를 신는 것 또한 중요한 원인인자입니다. 직업적으로 구두를 오래 신어야 하는 분들이 무지외반증이 많이 발생하는 이유이기도 합니다.
치료


무지외반증이 발생할 경우 증상이 없다면 꼭 치료를 필요로 하지 않지만, 안쪽의 통증과 보행 시 차고 나가는 힘이 떨어지는 등의 증상이 지속된다면 치료를 하는 것이 좋습니다. 가장 쉬운 치료는 발 안쪽이 아플 때 발 볼이 넓은 신발을 신는 것입니다.
시중에 여러 무지외반증 제품들이 나와있는데 아픈 증상을 해결하는데 일부 도움이 될 수가 있지만 근본적인 교정 효과는 없습니다. 보존적 치료에도 증상이 지속되거나 변형이 많이 심할 경우, 무지외반으로 인한 다른 증상(전이성 중족골통증 등)이 발생할 경우에는 결국 수술적 치료를 고려해 보는 것이 좋습니다.
수술적 치료 방법은 증상과 정도에 따라 여러 가지 방법을 선택할 수 있습니다. 가장 대표적인 수술은 문제가 되는 엄지발가락 쪽의 제1중족골을 절골, 즉 부러뜨려서 이동시킨 뒤에 금속 나사 등으로 고정하는 방법입니다. 전통적으로 안쪽 피부 절개를 하여 수술을 시행했으나 최근에는 절개를 최소화 한 최소침습 무지외반 교정술 방법이 알려져 있어 환자들의 수술 후 회복이 매우 빨라졌습니다. 무지외반증으로 고생하고 있는 분들이 있다면 정확한 진단과 치료 방법에 대하여 정형외과 전문의와 상의하길 권장합니다

.
'포켓의학사전' 카테고리의 다른 글
| 충수염(맹장염) 초기증상, 통증, 치료방법 (0) | 2023.08.03 |
|---|---|
| 소아 호흡기 특징 (0) | 2023.08.02 |
| 소아변비 증상 및 치료방법 (0) | 2023.07.31 |
| 소아 중이염의 증상, 원인 등에 대해서 알아보자 (1) | 2023.07.30 |
| 야외 활동 중 응급상황 대처방법에 대해서 알아보자 (0) | 2023.07.29 |